Can a stroke present with flexor spasms? A highly rare experience
Yasir Mehmood Malik 1Abubaker Abdulrahman Almadani 1
Jaeed Ahmed Dar 1
1 Rashid Hospital, Dubai, United Arab Emirates
Abstract
Involuntary movement disorders are not a common presentation of basal ganglia ischemia which may be induced by cerebral hemodynamic insufficiency. In secondary causes of movements disorders cerebrovascular diseases represent up to 22% and involuntary movements develop after 1–4% of strokes. We describe a case of a middle-aged woman who presented with intermittent involuntary tonic spasms or seizure-like episodes followed by weakness due to contralateral putaminal infarction. Initially thought to have Todd’s paralysis she was not thrombolysed, but later she developed dense hemiplegia. Flexor spasms are generally thought to occur in lesions of the spinal cord but they can also occur in cerebral lesion, may be because of disinhibition of the spinal cord. Certain other theories also have been narrated, but this field still needs to be worked upon.
Keywords
stroke, putaminal infarction, flexor spasm, movement disorder, basal ganglia infarction
Introduction
Cerebral ischemia has a wide variety of presentations which is mainly dependant on the area of involvement. Ischemia of basal ganglia and surrounding structures can present with weakness, dystonia or involuntary movements. Post-stroke movement disorders can manifest in a wide range including Parkinsonism or hyperkinetic movement disorders such as chorea, ballismus, athetosis, dystonia, tremor, myoclonus, complexe motor stereotypies or akathisia. Sudden-onset repetitive tonic spasms of short duration may be classified under the heading of involuntary movements and are a very rare manifestation of basal ganglia infarction.
Tatemichi et al. presumed in a case study the mechanism of the sudden-onset movement disorder to be cerebral ischemia. By using cerebral blood flow studies they supported this concept and demonstrated perfusion insufficiency in a patient at rest with limb-shaking transient ischemic attacks. The focal perfusion deficit improved and the patient's symptoms relieved after carotid endarterectomy [1].
We are going to describe a case who presented in a very different way. The fact that the diagnosis initially was not clear, delayed the therapeutic decision. In literature only 2–3 similar cases have been reported so far. Repeated short lasting flexor spasm-like activity is not a known presenting feature of cerebral ischemia. It is usually seen in spinal cord disorders but it can occur in cerebral ischemia because of an undetermined mechanism. Various theories have been described which we will discuss here.
Case summary
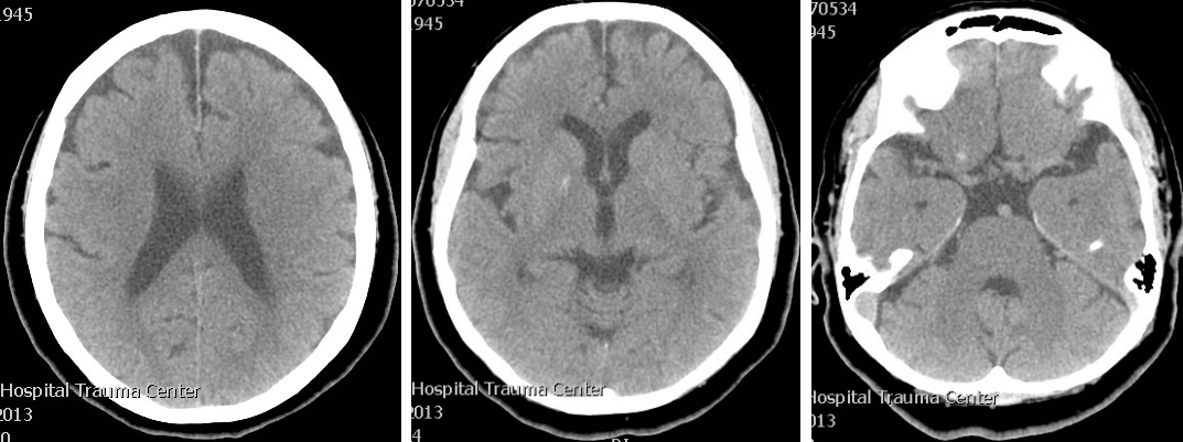
This is the case of a 57-year-old Indian right-handed woman who was known to have hypertension and ischemic heart disease and was on regular medication for these comorbids. On the day of presentation she woke up well and after 2 waking hours she started having involuntary movements on the right side of the body. This occurred 5–7 times and was described by the patient like some tightening spell which would persist for 5–10 sec and then it relieved by itself. This was followed by a weakness on the right side of the body which was so severe that she could not move out of bed. After half an hour the weakness started improving. When she reached hospital, her condition had much improved. On examination she was mildly slow in mental processing, but GCS (Glasgow Coma Scale) score was 15/15. She had mild dysarthria but speech assessment and cranial nerves were normal. In the motor system she had mild weakness with power of grade 4+/5 in the right sided limbs, both proximally and distally, and mild hypotonia on the right side. Power on the left side was normal. Reflexes were normal and symmetrical on both sides. The other examination results was unremarkable. We did CT brain which was normal (Figure 1 [Fig. 1]). Preliminarily we thought of tonic seizure disorder followed by Todd’s paralysis because we did not witness that episode and were dependant on history. We thought of stroke/transient ischemic attacks and discussed it with the family. At that time deficit was minimal and history was also suggesting Todd’s paralysis, so the unanimous decision was made not to treat as stroke and just to observe for seizure. Therefore she was not given thrombolytic therapy, however we loaded her with 300 mg Aspirin.

After 5 hours we observed involuntary movements on the right side of the body, which consisted of painful slow contractions of flexor muscles of hand and forearm along with dorsiflexion of the ipsilateral foot with a rapid release after 5–6 seconds (see video (Attachment 1 [Att. 1])). Mild weakness was still persistent since the first spell. We gave her calcium considering it to be hypocalcemic spasms (as serum calcium was borderline low), but there was no response. However it responded to diazepam for some time and then recurred. As we thought of the possibility of flexor spasms or seizure, she was given a loading dose of phenytoin after what severity and frequency were reduced.
After 9 hours of onset she developed dense hemiplegia on the right side. Now on examination she had right upper motor neuron type facial weakness, dysarthria, power of 0/5 in all muscle groups on the right side with hyporeflexia and hypotonia. The right Babinski sign was positive. Sensory examination was normal. There was no limb ataxia. The whole examination of the left side was unremarkable. She was still having the same spasms on the right side while hemiplegia persisted.
CT brain was repeated and was normal. EEG was normal. Laboratory investigations were normal except of the high cholesterol level. MRI brain showed infarction in the area of the left internal capsule, the putamen and some part of the thalamus (Figure 2 [Fig. 2]). Echocardiography and carotid Doppler were normal.

Flexor spasms were improved with phenytoin and weakness also improved with rehabilitation.
Discussion
Involuntary movement disorders are not commonly considered as an early sign of basal ganglia ischemia which may be induced by cerebral hemodynamic insufficiency. In secondary causes of movement disorders cerebrovascular diseases represent up to 22% and involuntary movements develop after 1–4% of strokes [2]. Various post-stroke involuntary movement disorders have been described with a spectrum of hyperkinetic disorders including chorea, ballismus, athetosis, dystonia, tremor, myoclonus, parkinsonism, motor stereotypies, and akathisia [2]. Some of these occur immediately after acute stroke, whereas others can develop later and a third category can also present as delayed-onset progressive movement disorders [2]. Such movement disorders have been observed in ischemic and hemorrhagic stroke affecting the basal ganglia or their connections. Flexor spasms are rarely caused by cerebral ischemia [3], and acute onset flexor spasms are a very rare presentation of putaminal infarction [4].
Yanagihara T et al. presented a case series in which patients were analyzed for their acute-onset involuntary movements. EEG was normal and cerebral angiography revealed either occlusion or high-grade stenosis of the internal or common carotid artery on the side opposite of the involuntary movement in all patients. They concluded that the repetitive involuntary movements result from transient hemodynamic ischemic episodes [5].
Im SH et al. presented a small case series of involuntary movement disorder induced by cerebral hemodynamic insufficiency. A common MRI finding in all cases was a small infarct in the frontal corona radiata, which did not extend to the cortex or basal ganglia. A perfusion defect in the frontoparietal subcortical regions was demonstrated by single-photon emission computerized tomography (SPECT) in all patients. Following bypass vascular surgery improved hemodynamic circulation in the frontoparietal subcortical regions occurred on SPECT scan in all patients. Their involuntary movements also improved [6].
Flexor spasms are generally seen in patients with spinal cord pathologies [3], brain tumor [7], multiple sclerosis [4], vasculitis and cerebral ischemia.
Glaser GH worked a lot on spasms and spasticity. He describes that for the spasticity after brain lesion there are three main physiological mechanisms:
- exaggerated spinal stretch reflexes, due to release from and facilitation by supraspinal controls, especially reticular and cerebellar influences,
- increased susceptibility to proprioceptive stimuli, and
- possible overactivity in the gamma control system of the muscle spindles [8]
This last mechanism, which is also the most classically described, has been studied long ago. Amongst all hypotheses which can explain spasm or spasticity, reduction of presynaptic inhibition (usually in basal ganglia ischemia) is the one having been clearly demonstrated [9]. The spinal reflex is normally inhibited by various supra-spinal fibers, dorsal reticulospinal pathway is the most important inhibitory pathway. The motor areas of the cortex, through corticobulbar pathways, facilitate the dorsal reticulospinal pathway, augmenting the net inhibitory role down the spinal cord. Lesion of these corticobulbar pathways, either in the cortex or internal capsule, reduces the inhibitory drive and results in net excitation of spinal cord activity [10].
It is undetermined whether electrophysiologically it is possible for an area of infarction or surrounding ischemic penumbra to generate an ephaptic (aberrant) transmission of otherwise normal axonal impulses which may lead to some involuntary movements. The therapeutic effectiveness of the Gamma aminobutyric acid-facilitating drug diazepam would support the theory that the lesion is interfering with inhibitory control [11].
In cerebral lesions the possible mechanism of painful flexor spasms may be one of the above mentioned pathological sequence of events, but the exact mechanism is yet to be determined.
Conclusion
Spontaneous flexor spasms as presented here often occur in patients suffering from spinal lesions or as a post-stroke motor sign after cortical ischemic lesions combined with spasticity, hemiplegia and other symptoms of pyramidal features. As demonstrated in our case spontaneous flexor spasms can be an early sign of an ongoing stroke in basal ganglia. Pathomechanisms are not clarified and need more attention for diagnostics and treatment.
Notes
Competing interests
The authors declare that they have no competing interests.
References
[1] Tatemichi TK, Young WL, Prohovnik I, Gitelman DR, Correll JW, Mohr JP. Perfusion insufficiency in limb-shaking transient ischemic attacks. Stroke. 1990 Feb;21(2):341-7. DOI: 10.1161/01.STR.21.2.341[2] Mehanna R, Jankovic J. Movement disorders in cerebrovascular disease. Lancet Neurol. 2013 Jun;12(6):597-608. DOI: 10.1016/S1474-4422(13)70057-7
[3] Dromerick AW. Clinical features of spasticity and principles of treatment. In: Gelber DA, Jeffery DR, editors. Clinical evaluation and management of spasticity. Totowa, New Jersey: Humana Press; 2002. p. 13–26.
[4] Merchut MP, Brumlik J. Painful tonic spasms caused by putaminal infarction. Stroke. 1986 Nov-Dec;17(6):1319-21. DOI: 10.1161/01.STR.17.6.1319
[5] Yanagihara T, Piepgras DG, Klass DW. Repetitive involuntary movement associated with episodic cerebral ischemia. Ann Neurol. 1985 Aug;18(2):244-50. DOI: 10.1002/ana.410180212
[6] Im SH, Oh CW, Kwon OK, Cho BK, Chung YS, Han DH. Involuntary movement induced by cerebral ischemia: pathogenesis and surgical outcome. J Neurosurg. 2004 May;100(5):877-82. DOI: 10.3171/jns.2004.100.5.0877
[7] Paliwal VK, Malhotra HS, Sharma R, Shukla R. Delayed diagnosis of brain tumor in a patient with flexor spasms and spastic foot drop. Ann Indian Acad Neurol. 2008 Oct;11(4):254-6. DOI: 10.4103/0972-2327.44564
[8] Glaser GH. Spasticity and spasms in hemiplegia and paraplegia. Cereb Palsy Bull. 1961 Aug;3:349-54. DOI: 10.1111/j.1469-8749.1962.tb03118.x
[9] Biraben A, Roby-Brami A, Azouvi P, Tougeron A, Bussel B. Physiopathologie de la spasticité et des spasmes en flexion [Physiopathology of spasticity and flexion spasms]. Therapie. 1990 May-Jun;45(3):259-62.
[10] Sheehan G. The pathophysiology of spasticity. Eur J Neurol. 2002;9(s1):3-9. DOI: 10.1046/j.1468-1331.2002.0090s1003.x
[11] Kaufman DK, Brown RD Jr, Karnes WE. Involuntary tonic spasms of a limb due to a brain stem lacunar infarction. Stroke. 1994 Jan;25(1):217-9. DOI: 10.1161/01.STR.25.1.217



